| Species | Disruptability | Reference | Submitter | |
|---|---|---|---|---|
| P. berghei ANKA |
Possible |
RMgm-1323 | Imported from RMgmDB | |
| P. berghei ANKA |
Possible |
RMgm-1321 | Imported from RMgmDB | |
| P. berghei ANKA |
Possible |
PlasmoGEM (Barseq) | PlasmoGEM | |
| P. falciparum 3D7 |
Possible |
26900081 | Theo Sanderson, Wellcome Trust Sanger Institute | |
| P. falciparum 3D7 |
Possible |
USF piggyBac screen (Insert. mut.) | USF PiggyBac Screen | |
| P. falciparum 3D7 |
Possible |
35521513 \"Pf abcc2 - sporozoites invade hepatocytes, form a PV, and transform into liver stage trophozoites but cannot transition to exoerythrocytic schizogony and fail to transition to blood stage infection.\" |
Theo Sanderson, Francis Crick Institute | |
| P. yoelii yoelii 17X |
Possible |
RMgm-4773 | Imported from RMgmDB | |
| Species | Stage | Phenotype | Reference | Submitter |
|---|---|---|---|---|
| P. berghei ANKA | Asexual |
No difference |
RMgm-1323 | Imported from RMgmDB |
| P. berghei ANKA | Asexual |
No difference |
RMgm-1321 | Imported from RMgmDB |
| P. berghei ANKA | Asexual |
Attenuated |
PlasmoGEM (Barseq) | PlasmoGEM |
| P. yoelii yoelii 17X | Asexual |
No difference |
RMgm-4773 | Imported from RMgmDB |
| P. berghei ANKA | Gametocyte |
Difference from wild-type |
RMgm-1323
Reduced gametocyte production |
Imported from RMgmDB |
| P. berghei ANKA | Gametocyte |
Difference from wild-type |
RMgm-1321
Reduced gametocyte production |
Imported from RMgmDB |
| P. yoelii yoelii 17X | Gametocyte |
Difference from wild-type |
RMgm-4773
(somewhat) reduced production of gametocytes; normal exflagellation |
Imported from RMgmDB |
| P. berghei ANKA | Ookinete |
Difference from wild-type |
RMgm-1323
Reduced ookinete production |
Imported from RMgmDB |
| P. berghei ANKA | Ookinete |
Difference from wild-type |
RMgm-1321
Reduced ookinete production |
Imported from RMgmDB |
| P. berghei ANKA | Oocyst |
Difference from wild-type |
RMgm-1323
Reduced oocyst production |
Imported from RMgmDB |
| P. berghei ANKA | Oocyst |
Difference from wild-type |
RMgm-1321
Reduced oocyst production |
Imported from RMgmDB |
| P. berghei ANKA | Sporozoite |
Difference from wild-type |
RMgm-1323
Reduced sporozoite production |
Imported from RMgmDB |
| P. berghei ANKA | Sporozoite |
Difference from wild-type |
RMgm-1321
Reduced sporozoite production |
Imported from RMgmDB |
| P. berghei ANKA | Liver |
Difference from wild-type |
RMgm-1323
Normal invasion of hepatocytes by mutant sporozoites. Liver stages completely abort development during mid- to late liver stage development. During the first 24-30 h the development of Pbmrp2 liver stages with respect to number, size and number of nuclei per parasite was similar to WT liver stage development. In contrast, subsequent intra-hepatocytic development of Pbmrp2 parasites was abnormal. While parasites appear to invade and develop like WT parasites until 30 hpi, they become significantly smaller from 40 hpi and contain fewer nuclei than WT parasites at 52 hpi. While expression of the PVM protein EXP1 was readily detected in Pbmrp2 parasites, the liver stages remained MSP1-negative during the complete culture period. The combined observations demonstrate that Pbmrp2 parasites can invade hepatocytes, establish a PVM and start nuclear division but are unable to form mature schizonts containing infectious merozoites. |
Imported from RMgmDB |
| P. berghei ANKA | Liver |
Difference from wild-type |
RMgm-1321
Normal invasion of hepatocytes by mutant sporozoites. Liver stages completely abort development during mid- to late liver stage development. During the first 24-30 h the development of Pbmrp2 liver stages with respect to number, size and number of nuclei per parasite was similar to WT liver stage development. In contrast, subsequent intra-hepatocytic development of Pbmrp2 parasites was abnormal. While parasites appear to invade and develop like WT parasites until 30 hpi, they become significantly smaller from 40 hpi and contain fewer nuclei than WT parasites at 52 hpi. While expression of the PVM protein EXP1 was readily detected in Pbmrp2 parasites, the liver stages remained MSP1-negative during the complete culture period. The combined observations demonstrate that Pbmrp2 parasites can invade hepatocytes, establish a PVM and start nuclear division but are unable to form mature schizonts containing infectious merozoites. |
Imported from RMgmDB |
| P. falciparum 3D7 | Liver |
Attenuated |
35521513 \"Pf abcc2 - sporozoites invade hepatocytes, form a PV, and transform into liver stage trophozoites but cannot transition to exoerythrocytic schizogony and fail to transition to blood stage infection.\" |
Theo Sanderson, Francis Crick Institute |
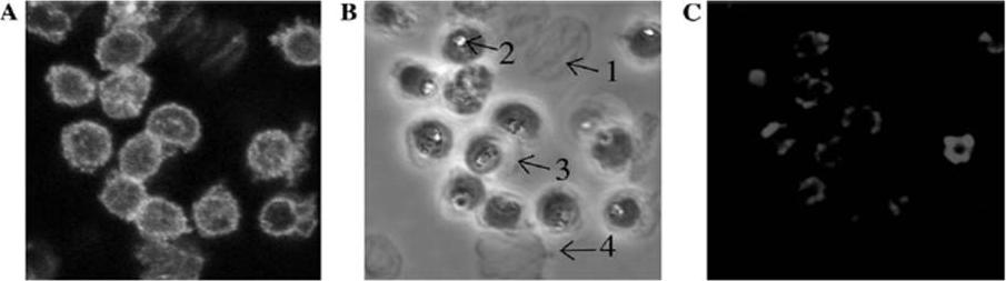
Localisation of PfMRP in P. falciparum schizonts from strain A4. (A) Confocal image of schizont-infected erythrocytes stained using the anti-PfMRP antibody and FITC-labelled secondary antibody. (B) Transmitted light image of the same field. (C) Confocal image of the DAPI-stained schizont nuclei in the same field. Images were captured using a Leica TCS 4D confocal microscope. Arrows in (B) indicate: 1, uninfected human erythrocyte; 2, parasite food vacuole; 3, unstained plasma membrane of an infected human erythrocyte; and 4, stained, disrupted membrane of a presumably formerly infected erythrocyte. Schizonts show a very distinctive pattern of fluorescence staining with anti-PfMRP with the majority of reactivity surrounding what seems to be the plasma membrane of the parasite.Klokouzas A, Tiffert T, van Schalkwyk D, Wu CP, van Veen HW, Barrand MA, Hladky SB. Plasmodium falciparum expresses a multidrug resistance-associated protein. Biochem Biophys Res Commun. 2004 321:197-201. Copyright Elsevier 2009.
See original on MMP
Localization of PfMRP2 and PfMDR5 within the asexual stages of P. falciparum. In column 1 blue (DAPI) shows the nuclear staining. In column 2 red shows PfMRP2 staining. In column 3 green shows glycophorin-A (A and B) or PfERC (C and D) staining. Column 4 shows the merge of column 1–3. Finally, column 5 shows the differential interference contrast image. Represented in rows: A, multiple infected erythrocyte: rings; B, double infected erythrocyte: trophozoites; C, three trophs (T) and two rings (R); D, early schizont. Arrow indicates food vacuole. Both transporters are localized to the plasma membrane in all asexual stages of the parasite.Kavishe RA, van den Heuvel JJ, van de Vegte-Bolmer M, Luty AJ, Russel FG, Koenderink JB. Localization of the ATP-binding cassette (ABC) transport proteins PfMRP1, PfMRP2, and PfMDR5 at the Plasmodium falciparum plasma membrane. Malar J. 2009 8:205.
See original on MMP
Immunofluorescence images of PfMRP2 localization labelled with Alexa488 during the development from ring to trophozoite and schizont stages in the wild-type clone 11C parasite. Nucleus was stained with DAPI (4′,6′-diamidino-2-phenylindole). The bottom panel shows dual labelling of the parasite at early schizont stage with anti-PfMRP2 (Alexa488) antibody and digestive vacuole-specific PfCRT antibody (Alexa594). In all asexual blood stages of 11C/wt, the PfMRP2 IFAsignal exhibited a punctate pattern suggesting its association with membranous vesicles within the parasite cytoplasm. In the ring stage, PfMRP2-associated compartments concentrated to the periphery of the parasite, while in trophozoite and schizont stages these were more dispersed throughout the cytoplasm. The signal also appeared discrete and punctuated around individual merozoites in the mature schizonts just prior to rupture.Mok S, Liong KY, Lim EH, Huang X, Zhu L, Preiser PR, Bozdech Z. Structural polymorphism in the promoter of pfmrp2 confers Plasmodium falciparum tolerance to quinoline drugs. Mol Microbiol. 2014 91(5):918-34.
See original on MMP| PlasmoDB | PVX_124085 |
| GeneDB | PVX_124085 |
| Malaria Metabolic Pathways | Localisation images Pathways mapped to |
| Previous ID(s) | Pv124085 |
| Orthologs | PBANKA_1443800 , PF3D7_1229100 , PKNH_1448500 , PVP01_1447300 , PY17X_1446300 |
| Google Scholar | Search for all mentions of this gene |