| Species | Disruptability | Reference | Submitter | |
|---|---|---|---|---|
| P. falciparum 3D7 |
Refractory |
USF piggyBac screen (Insert. mut.) | USF PiggyBac Screen | |
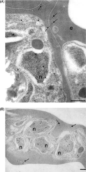
Localisation of Pfj4 in infected erythrocytes by immunoEM. (A) Trophozoite-infected erythrocyte. (B) Schizont-infected erythrocyte. Pfj4 localisation was visualised using gold-conjugated anti-rabbit secondary antibodies. Pfj4 was detected in the parasite nucleus and cytoplasm. Pfj4 localisation was also observed in erythrocyte cytoplasm. In some cases, Pfj4 seemed to be associated with membranous structures resembling Maurer’s clefts. The nucleus (n) and the erythrocyte (e) are indicated. Arrows indicate immunostaining in the erythrocyte. Arrowheads indicate immunostaining in the parasite. Size bars, 200 nm.Pesce ER, Acharya P, Tatu U, Nicoll WS, Shonhai A, Hoppe HC, Blatch GL. The Plasmodium falciparum heat shock protein 40, Pfj4, associates with heat shock protein 70 and shows similar heat induction and localisation patterns. Int J Biochem Cell Biol. 2008 40:2914-26. Copyright Elsevier 2011.
See original on MMP
Localisation of Pfj4 in infected erythrocytes by immunofluorescence staining. (A and B) Trophozoite-infected erythrocytes. (C) Schizont infected erythrocyte. The distribution of Pfj4 was visualised using anti-rabbit IgG-TRITC secondary antibodies and nuclei were visualised by DAPI staining. Pfj4 localises in the nucleus and cytoplasm of the parasite. In some cases, Pfj4 was also observed in the erythrocyte (A). Pfj4, images were captured under the TRITC filter and the fluorescence is pseudocoloured red. Nucleus, images were captured under UV light and the fluorescence is pseudocoloured blue. Merge 1, combination of the TRITC and DAPI images. Merge 2, combination of merge 1 and the corresponding phase contrast image. Arrows indicate localisation of Pfj4 in the erythrocyte cytoplasm. Size bars, 5 mm.Pesce ER, Acharya P, Tatu U, Nicoll WS, Shonhai A, Hoppe HC, Blatch GL. The Plasmodium falciparum heat shock protein 40, Pfj4, associates with heat shock protein 70 and shows similar heat induction and localisation patterns. Int J Biochem Cell Biol. 2008 40:2914-26. Copyright Elsevier 2011.
See original on MMP| PlasmoDB | PVX_084600 |
| GeneDB | PVX_084600 |
| Malaria Metabolic Pathways | Localisation images Pathways mapped to |
| Previous ID(s) | Pv084600 |
| Orthologs | PBANKA_0609900 , PCHAS_0611600 , PF3D7_1211400 , PKNH_1311500 , PVP01_1310600 , PY17X_0612400 |
| Google Scholar | Search for all mentions of this gene |