Last updated 6 months ago

Disruptability [+]

Species Disruptability Reference Submitter
P. falciparum 3D7
Possible
11349024 Theo Sanderson, Wellcome Trust Sanger Institute
P. falciparum 3D7
Possible
USF piggyBac screen (Insert. mut.) USF PiggyBac Screen

Mutant phenotypes [+]

None reported yet. Please press the '+' button above to add one.

Imaging data (from Malaria Metabolic Pathways)

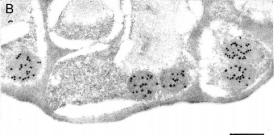
Rhoptry-associated proteins in merozoite rhoptries by immunoelectron microscopy using rhoptry-specific mouse and rabbit antisera. P. falciparum rhoptries within merozoites in segmented schizonts reacted with antiserum #686; a 39-kDa C-terminal recombinant (RH3 3-5). Gold particles (15 nm) label the electron dense compartment of the rhoptries. Bar, 0.25 mm.Sam-Yellowe TY, Del Rio RA, Fujioka H, Aikawa M, Yang JC, Yakubu Z. Isolation of merozoite rhoptries, identification of novel rhoptry-associated proteins from Plasmodium yoelii, P. chabaudi, P. berghei, and conserved interspecies reactivity of organelles and proteins with P. falciparum rhoptry-specific antibodies. Exp Parasitol. 1998 89:271-84.

See original on MMP

More information

PlasmoDB PF3D7_1252400
GeneDB PF3D7_1252400
Malaria Metabolic Pathways Localisation images
Pathways mapped to
Previous ID(s) 2277.t00502, MAL12P1.499, PFL2520w
Orthologs
Google Scholar Search for all mentions of this gene