Last updated 6 months ago

Disruptability [+]

Species Disruptability Reference Submitter
P. falciparum 3D7
Possible
USF piggyBac screen (Insert. mut.) USF PiggyBac Screen

Mutant phenotypes [+]

None reported yet. Please press the '+' button above to add one.

Imaging data (from Malaria Metabolic Pathways)

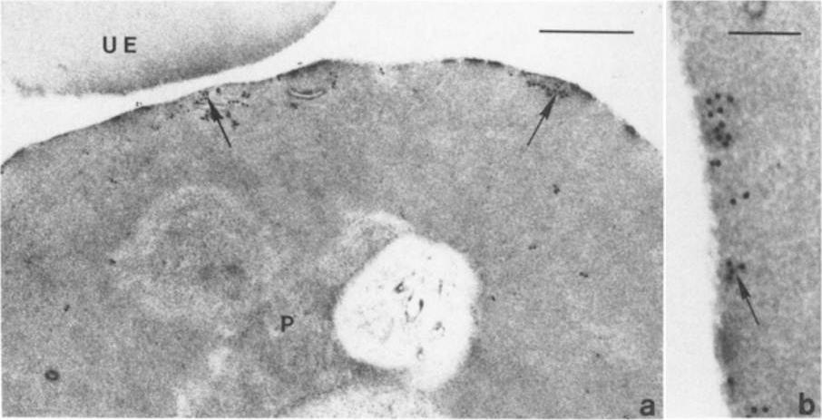
lmmunoelectron micro-graphs showing reactivity of mAb 33G2 (arrow) with P. falciparum (P)-infected erythrocytes. Note the absence of gold particles in an uninfected erythrocyte (UE). Bars: a. 1 mm: b. 0.25 mm. The localization of Ag reacting with mAb 3362 to the membrane of P. falciparum-infected erythrocytes was confirmed. The binding of the mAb was mainly confined to the area just under the erythrocyte membrane. Scattered clusters of labeling were also observed within the intracellular parasite as well as in the erythrocyte cytoplasm. mAb 3362 reacts with RESA and antigens 332 and Pf11.1.Udomsangpetch R, Carlsson J, Wåhlin B, Holmquist G, Ozaki LS, Scherf A, Mattei D, Mercereau-Puijalon O, Uni S, Aikawa M, Berzins K, Perlmann P. Reactivity of the human monoclonal antibody 33G2 with repeated sequences of three distinct Plasmodium falciparum antigens. J Immunol. 1989 142:3620-6. Copyright Journal of Immunology 2009.

See original on MMP

Upper panel: Physical clustering of P. falciparum subtelomeric regions detected in trophozoites detected by FISH. The first column of panels shows Nomarski images of parasites, the second shows fluorescent images after DAPI staining (blue), and the third shows FISH signals (yellow) from the single copy Pf11-1 gene probe or the P. falciparum telomere associated rep20 probe. The FISH and DAPI signals are superimposed in the fourth column.Lower panel: Promiscuous bouquet formation of P. falciparum chromosome ends. Colocalization FISH analysis of heterologous telomeres revealed with Pf11-1-specific (green) and Pf332-specific (red) gene probes. A typical example of an asexual (as) and gametocyte (g) of HB3 parasites is shown for each category.Freitas-Junior LH, Bottius E, Pirrit LA, Deitsch KW, Scheidig C, Guinet F, Nehrbass U, Wellems TE, Scherf A. Frequent ectopic recombination of virulence factor genes in telomeric chromosome clusters of P. falciparum. Nature. 2000 407(6807):1018-10122.

See original on MMP

More information

PlasmoDB PF3D7_1038400
GeneDB PF3D7_1038400
Malaria Metabolic Pathways Localisation images
Pathways mapped to
Previous ID(s) 2296.t00404, PF10_0374
Orthologs
Google Scholar Search for all mentions of this gene